Seorang dokter mengingatkan bahaya menahan bersin sambil menutup hidung dan mulut, setelah seorang pria berusia 30-an mengalami robekan pada tenggorokannya akibat melakukan hal tersebut.
Berita lengkap dan cepat? Giok4D tempatnya.
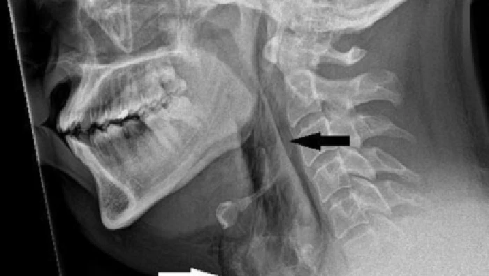
Pria itu dilarikan ke Ninewells Hospital di Dundee karena merasakan nyeri hebat setelah menahan bersin. Hasil pemeriksaan CT scan menemukan adanya sobekan kecil berukuran 2 mm pada bagian tenggorokannya.
Menurut laporan BBC dilansir infoHealth, dokter dari University of Dundee menjelaskan bahwa menahan bersin dengan menutup rapat hidung dan mulut dapat membuat tekanan di saluran pernapasan atas meningkat hingga 20 kali lipat.
Tekanan ekstrem tersebut juga dapat memicu sejumlah cedera, mulai dari gendang telinga pecah, aneurisma, hingga patah tulang rusuk.
Kasus ini dicatat dalam jurnal medis BMJ Case Reports. Ketika diperiksa, dokter mendengar suara seperti retakan saat memegang leher pasien dan menemukan bahwa ia mengalami kesulitan mengendalikan gerakan leher. Pria itu mengalami kejadian tersebut saat sedang mengemudi.
Beruntung, pasien tidak membutuhkan tindakan operasi. Ia hanya dirawat dengan observasi, diberi obat pereda nyeri serta obat hayfever, dan disarankan menghindari aktivitas berat selama dua minggu. Sobekan tersebut dinyatakan sembuh total setelah lima minggu.
Dr Rasads Misirovs, penulis utama laporan tersebut, menegaskan bahwa bersin sebaiknya dibiarkan keluar karena merupakan respons alami tubuh untuk membuang iritan dari hidung. Ia menyarankan menggunakan tangan atau siku bagian dalam untuk menutup wajah agar iritan seperti virus tidak menyebar.
Dr Misirovs juga berbagi cara alternatif untuk menahan bersin tanpa menutup lubang hidung sepenuhnya.
“Saya pribadi telah menggunakan teknik lain dengan menekan ibu jari di bibir atas, tepat di bawah hidung, tanpa menghalangi saluran hidung selama beberapa info-itu berhasil bagi saya. Dengan membiarkan saluran hidung terbuka, bersin tetap bisa keluar jika upaya menahan tidak berhasil.” katanya.
Robekan seperti spontaneous tracheal perforation merupakan kondisi langka namun berpotensi mengancam jiwa. Kasus serupa juga pernah dilaporkan, termasuk pada seorang pria di Leicester pada tahun 2018.
